
HercepTest™ mAb pharmDx
Companion diagnostics
Information
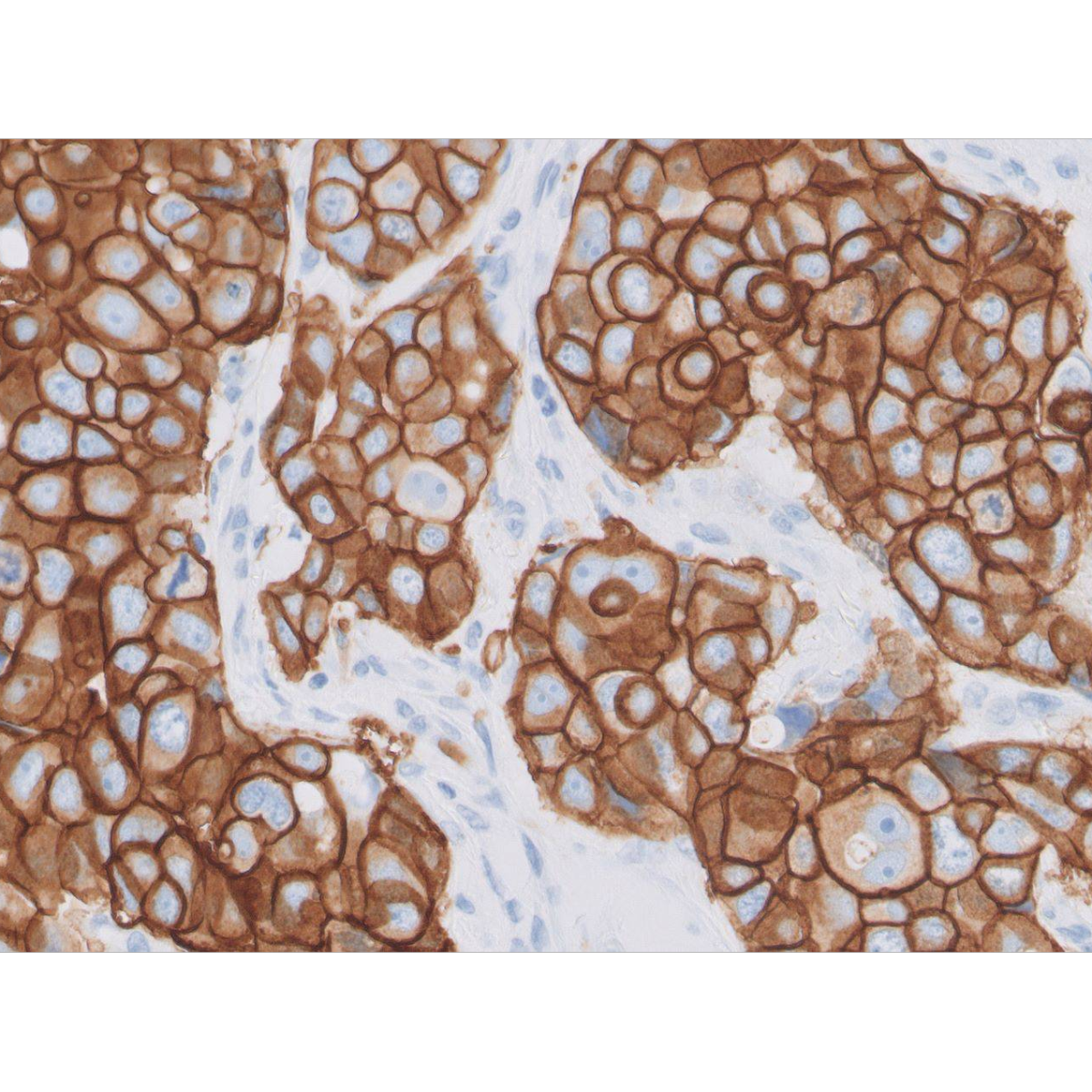
HercepTest™ mAb pharmDx  for Dako Omnis is a semiquantitative immunohistochemical assay based on a primary monoclonal rabbit antibody (clone DG44) and an assay-specific visualization reagent. The assay determines HER2 protein overexpression in formalin-fixed, paraffin-embedded (FFPE) breast cancer tissues processed for histological evaluation. HercepTest™ mAb pharmDx  for Dako Omnis is indicated as an aid in the assessment of breast cancer patients for whom Herceptin® (trastuzumab) treatment is being considered.
